



上班时间;周一至周五早九晚五,周六早上半天。专家门诊预约电话:13709115896






病毒性角膜炎是受病毒致病原感染角膜而引起的炎症。角膜浅层有丰富的三叉神经末梢,故本病常有明显的刺激症状,有畏光、流泪、酸痛等。角膜本属透明,一旦有病,则其透明度发生改变,病人常主诉有视物模糊。本病一般沿三叉神经发病,病变部位侵犯较深,其感觉减退,但因炎症刺激角膜病变的邻近组织,因此刺激症状仍较明显。病毒性角膜炎,病程较长,预后且易复发。常可伴有葡萄膜反映,甚至出现虹膜睫状体炎、前房积脓,或继发青光眼,是临床上较为常见的致盲眼病之一。
本病中医称为“聚星障”,此所见症,黑睛风轮有星翳,或聚或散,成簇排列,一旦星翳破溃,融合成片,呈树状的图象,则中医又称“花翳白陷”。本病多因肝肺郁热,复受风邪,风火相扇,上攻于风轮为患,也有肝脾湿热内壅,熏蒸黑睛罹病。常见畏光流泪,疼痛视糊,迁延不愈,日后黑睛留下翳障,视糊终身。若风邪上犯,引动内热,常以散风清热,若是肝脾湿热内结,升扰于目,发为本病,则以清热解毒.化湿退翳。治疗本病,若瞳孔紧小,也需配合应用西药扩瞳眼药水滴眼,以防瞳孔紧小之病变。本病常以体弱外邪侵袭而复发,故本病患者应在平时注意寒热,以防外感。近来也有学者以本病病变部位的深浅来辨证立方,浅层以疏风清热;位于中层,以清热解毒化湿;病变累及瞳神,则清肝胃之火治之。
西医认为本病以单纯疱疹病毒为常见的致病原;带状疱疹病毒次之;还有在接种牛痘疫苗病毒意外感染角膜所致;也有受腺病毒感染而发病。当身体抵抗力减退时,如感冒或高热等,是本病的诱发因素。
本病的诊断依据,带状疱疹病毒感染,它是沿三叉神经末梢颞支分布,在眼睑的上睑及颞部皮肤程带状串珠状的疱疹,且以患眼的同侧为特点,一般皮肤病变决不超越中线。单纯疱疹病毒引起本病,常在感冒或高热中,一般有口角或鼻翼部出现单纯疱疹。牛痘病毒性角膜炎,有接种或接触过牛痘疫苗病史。以上三种在角膜常呈树枝状角膜炎,浸润后常发生溃疡,严重病例则常引起虹膜反应,虹膜睫状体炎,角膜后在裂隙灯检查下可见有灰白色的沉淀物,甚至有前房积脓。溃疡面扩大,可呈盘状或地图状,少数病例还可引起角膜穿孔,或角膜葡萄肿.继发性青光眼等,最终导致失明。但以腺病毒为致病原的本病,常侵犯角膜基质浅层,程点状侵润,一般不形成溃疡,炎症消退后,常也留有点状疤痕。
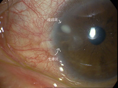
李霜诚大夫根据病毒性角膜炎的临床表现,把本病的发展过程概括为风、热、毒、翳四个阶段。
风盛期:主要常见于本病的初期,临床表现为畏光、流泪、发痒、结膜常有轻度充血,或无明显充血,角膜上常有散在点状浸及着色眯,脉多缓,或浮滑,舌苔薄白。
热盛期:发生在本病的中期,或初期未有效治疗时。主要表现为结膜用睫状充血较重,且常伴有疼痛及异物感,角膜上有片状浸润及着色区。脉多滑大,舌质红、苔黄。病人常口干舌燥,小便黄,大便秘结。
毒盛期:在感受毒邪较重,或进一步发展时则进入本期。临床表现为较严重的混合性充血,疼痛不休,眼泪不止,常有黄稠的分泌物,角膜上有大片状浸润及着色,重者形成溃疡。脉洪滑,舌质红、苔黄厚。患者出现口渴引饮,小便短赤,大便燥结等。
翳成期:凡角膜上有可见的混浊性病变,是为翳成期。翳又有热翳及冷翳之分,前都指进行性病变,后者为因定性病变。本期可发于上述三期的每期内,翳的多少,常标志病损的严重程度。
西医对本病治疗,常用抗病毒眼药水,配合抗菌素眼药水,以防继发细菌或真菌感染,有虹膜反应时,则加扩瞳药。全身以示体质情况,衰落者或易感冒者,常辅以提高免役的药物。
角膜炎在眼科里属于外眼疾病,口服中药是从根本上消除疾病的唯一途径,尽管外用药物能起到立竿见影的效果,但我们认为,要彻底治愈该病,必须结合传统中草药治疗。中医眼科的辨证以风热,热毒及湿热等为主,通常以疏风解表,清热解毒,清热利湿等为用,针对该病有反复发作的特点,我们除了采取"泻"的办法以外,在治疗后期往往还要采取"补"的方法,提高患者自身的正气,以抵御外邪的侵袭,正所谓"正气内存,邪不可干"。
我们认为角膜从解剖学上更符合皮肤的特征,将这一新的观念运用到传统的中医"五轮学说"里,就建立起一整套关于"李氏眼科"对于角膜炎病症的认识和独立的治疗体系,采取内外兼之,取得很好的疗效。
我们的外治法是建立在家传的药方基础上,经过不断的创新改良,研制出有退翳明目的外用角膜炎专用膏剂,我们取名"SL特",对于久治不愈的角膜炎有很好的效果,尤其在临床上对角膜基质炎引起的视力下降,经使用后可起到立杆见影的效果.在临床运用中,因该药物药性竣猛,患者用后有很强的感受性,所以要求患者必须亲自到我们这里观察运用。
李氏眼科对于病毒性角膜炎的认识及其治疗效果汇报:

郝伟,男,38岁,现住陕西阎良红旗楼。该患者于8岁时患角膜炎,当时在西安一家眼科医院就治,因受当时医疗条件限制,医生给予冷冻治疗,因患者当时年幼不配合且治疗过程非常痛苦,遂给予全麻,每次治疗时其家人都以泪洗面,但经治疗后,效果却并不明显,患者视力仍急剧下降,仅存眼前手动的视力。经家人多方打听,找到当时在西安市中医医院任眼科主任——李霜诚大夫。李大夫用其祖传的药膏点眼,并配合中药治疗。一月时间,他的视力奇迹般的恢复到正常,后参加飞行员考试,并顺利通过,现在陕西阎良飞机制造公司成为一名试飞员。
严**,西安广播电台的著名播音员,2006年因患角膜炎,经人介绍来我处就诊,当时来时患眼视力只有眼前指数,也就是只能看到几个手指,我们检查后发现其角膜基质严重水肿浑浊,对光线的通透性明显降低,因此,对视力的损害很大.角膜上皮有明显的染色,诊断为"角膜基质炎",经用"SL特"两天后,结合口服中药,视力奇迹般恢复到0.8,这是我们所不能想到的.后坚持口服中药,再未反复,2007年电话随访,未有异常,现仍然忙碌在自己的工作岗位上。
养群,男,51岁,陕西彬县人。该患者于1993年患病毒性角膜炎,在西安各大医院就医治疗,效果甚微,后转至西安市第一人民医院(现西安市眼科医院),准备做角膜移植手术,在病房中住院期间,和病室病友聊天得知,角膜移植手术的成功率不是很高,遂打消手术念头。后遇一同乡,介绍到我处就医,在我院住院40余天,经过李霜诚主任的精心治疗,病情大为减轻,患者欣喜之极,回家后忘却眼曾经得病,与朋友饮酒作乐,病情再次发作,后又住院治疗20余天,痊愈,至今未见发作。
梁西印,女40岁,家住西安北关,于20年前(患者口述),被诊断患有"病毒性角膜炎",因当时指定医疗单位是西安四医大,在那治疗很久,病情得不到控制,后患者多方求医,先后跑到西安周边的郊县,周至,户县等,但均未取得好的治疗效果,患者眼睛一直红,肿,睁不开,十分难受,最后抱着一丝希望,到西安市中医院(当时李霜诚主任)眼科,在主任的精心治疗下,病情明显好转,08年6月来我处闲聊,对主任的医术赞赏不绝于口,并说自从病好后从未发作。
朱金红,男,28岁,西安建筑科技大学居住.该患者于2006年3月7日来我们这里以双眼红,痒,畏光,流泪症状初诊,而且时好时发,之前曾在西安市眼科医院诊断为"双眼病毒性角膜炎",各种眼药水点后没有效果,经人介绍到我们这里.来时双眼视力:右眼0.15,左眼0.6,经我们用荧光素染色检查,角膜上皮大面积着色,右眼局部还可见部分溃疡面,舌质是淡红,舌苔白腻,脉象滑细,疗以清肝利湿益气明目(方药略),10天后,患者自觉症状减轻,检查后角膜溃疡已经愈合,但仍有弥漫性着色,继续服药,一个月后,左眼的染色已经完全消失,角膜清亮透明,视力恢复到0.8,右较治疗前有好转,视力也提高到0.25,此时病情基本得到控制,但患者右眼仍不舒服.继续坚持用中药,6月28日,来我们检查右眼视力已经到0.4,但患者本人体质较差,每当感后,眼睛病情加重,我们及时调整药方,适当佐以补脾益气药物,年底时间,病情已大部分痊愈,最后一次来我们这里检查视力,时间是2007年5月12日,右眼已经达到0.8,左眼1.0,我们也由衷的感到了一些欣慰。
高权,一位山东滕州的年轻患者,24岁,其父一开始对我们抱着半信半疑的态度,生怕药款打到药无法寄到,以致将孩子的病又耽误了段时间,后来小伙子自己将药费给我们打过来,邮寄了半个月的药,服用后病情有所好转,又再次邮寄了半个月的药。9月12日,药已基本服完,父子俩亲自坐火车来我们诊所就诊,我检查时发现患者除了结膜还有些充血外,角膜已基本恢复正常,只在基质层薄薄留下一点云翳,嘱咐其继续服药,防止病情复,另增加了一些增强患者免疫力的药物,进行了合理配伍,患者高兴的带药回家。该
近来(2007年10月国庆期间)我们这里治疗的患者当中,许多都经过西医方面的治疗,但往往到我们这里看的时候,已经错过最佳的治疗时期,而且,最为严重的是,经过西医的治疗后,已经落下了很严重的并发症---角膜斑翳.为什么会落下这种病症呢?这要从目前西医对该病的用药说起,西医目前对角膜炎的治疗分这么几类:对于细菌引起的一般用抗生素治疗,如庆大霉素等;对于真菌引起的一般用抗真菌的药物,如达夫康等;对病毒引起的一般用抗病毒结合激素类药物,如阿昔罗韦和地塞米松等.我们知道,病毒有很强的变异性,当一种抗病毒药物拟制了病毒的生长后,它就会变异成另一种,如同感冒病毒样,因此,治疗病毒性角膜炎很难用一种药物将其完全治疗好,但目前抗病毒的药物疗效有限,因此,医生在用抗病毒药物的同时,往往要加上激素类药,一旦用上此类药物,患的症状(如怕光,流泪,疼痛等)很快会减轻,患者也往往被表象所蒙蔽,以为病情得到了控制,在往好的发展,孰不知用此办法,如同给本来火力减弱的炉膛里又添上了新煤,久病情会再次发作,医生为了控制病情,继续给患者上激素,周而复始,激素的量越来越大,患者如同吸了大烟,不能戒断,一旦停用,病情马上发作,这就是我们医学上的用药成瘾性.更可怕的还在后面。
长期运用激素,可以导致激素性肥胖,满月脸.并且可以导致身体的钙流失,引起骨质苏松症等,在眼睛上最明显的表现就是造成角膜代谢障碍,形成角膜斑翳,就是我上面说的那些前来就诊的患者所痛苦的病症,一个是山东林沂(音)的叫王传宝的患者,来我这里检查时左眼仅存指数,左眼角膜被厚厚的斑翳所覆盖,经过我的中药治疗,现在激素药已经停用,病情稳定.另一位叫陈杰的江苏南京患者,和王传宝几乎病症相同,治疗经历也类似,视力略较前者好,左眼也仅0.1,才慕名到我们这里,还没有接受治疗;用激素量最少,时间也最短的患者是兰州来的一名小孩子,名叫付宗杰,13893258978(父亲电话),在来我们这里之前已经吃我们开的中药15天,说病情明显好转,到我们这里后检查右眼视力为0.25,现经过20天的治疗和用药后,视力已经恢复到0.8.特举三例,想告戒那些目前在接受西医治疗的患者,对于激素的应用一定要谨慎!,否则,您将面临西医大夫给你的最后一种选择---角膜移植,至于后果可想而知了!
本文章版权归西安李氏中医眼科所有,如需转载不得更改文章内容,且必须留有本文章出处。

